Cerca nel Forum
Mostra i risultati per i TAG 'pachyella babingtonii'.
Trovato 1 risultato
-
Adelphella babingtonii (Berk. & Broome) Pfister, Matočec & I. Kušan 2009
Archivio Micologico ha postato un topic nell'area Funghi Non Commestibili o Sospetti
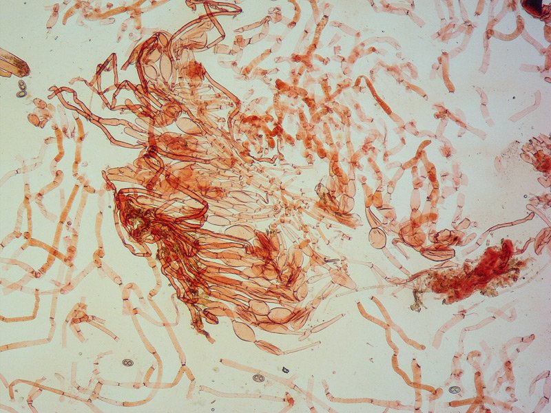
Adelphella babingtonii (Berk. & Broome) Pfister, Matočec & I. Kušan 2009 Tassonomia Divisione Ascomycota Classe Pezizomycetes Ordine Pezizales Famiglia Pezizaceae Sinonimi Pachyella babingtonii (Berk. & Broome) Boud. 1907 Pachyella depressa (Rehm) Boud. 1907 Note tassonomiche La Pachyella babingtonii è l'unica specie del genere Pachyella che è stata trasferita nel genere Adelphella (Pfister 2009). Gli studi degli autori sono basati su citologia, morfologia e esami molecolari, e hanno dimostrato che i tre generi Adelphella, Pachyella e Boudiera sono vicini, ma con sufficienti caratteri per essere distinti. A tutti e tre i generi appartengono specie che vivono sul legno molto bagnato, periodicamente sommerso dall'acqua. Etimologia L'epiteto Adelphella deriva dal greco adelphoí (ἀδελφοί) = fratelli , per la crescita in numerosi esemplari riuniti. L'epiteto babingtonii è dedicato al micologo Babington del XIX° sec. Ascoma Apotecio di forma prima turbinata poi discoidale, con il centro depresso, diametro di circa 2-5 mm, di colore bruno. Gli esemplari sono gregari, riuniti in gruppi, vivono su legno di Alnus spp. e si sviluppano su legno bagnato o immerso parzialmente in acqua. Carne Gelatinosa, di discreta consistenza. Habitat Gli esemplari vivono su legno di Alnus spp. e si sviluppano su legno bagnato o immerso parzialmente in acqua. Microscopia Aschi cilindrici ottasporici, con le pareti leggermente, ma distintamente amiloidi. Spore (18,0) 18,3-21,6 (21,9) × (9,9) 10,4-13,2 (14,0) µm; Q = (1,5) 1,6-1,78 (1,8); N = 30; Media = 19,8 × 11,8 µm ; Qm = 1,7; cortamente ellissoidali, biguttulate, lisce, ialine, con occasionale presenza di altre piccole guttuline. Parafisi cilindracee, sottili, clavate, settate, con pigmento bruno nell'apice delle parafisi. L'excipulum ectale alcune parafisi mostrano cellule rigongie sferiche, catenulate, e sono intercalate alle parafisi cilindriche, sottili. L'excipulum medullare è formato da ife ramificate, settate, che formano una textura intricata. Particolarità Le ife dell'excipulum medullare, sui setti mostrano i corpi di Woronin, presenti solo negli ascomiceti, dove il setto ha un poro, che in situazioni di stress, viene parzialmente o totalmente chiuso da corpuscoli di citoplasma, che permettono così di regolare il passaggio di sostanze e soprattutto liquide da una cellula all'altra. È da notare come i corpi di Woronin siano normalmente molto difficili da osservare per le minute dimensioni, tanto che esiste poca iconografia di queste strutture, le foto sono spesso realizzate al SEM (Microscopio Elettronico a Scansione), mentre nel nostro caso sono stati osservati agevolmente al Microscopio Ottico. Commestibilità e tossicità Non commestibile. Specie simili Pachyella clypeata (Schwein. : Fr.) Le Gal 1958, ha spore di dimensioni più grandi con intervallo delle misure che non si sovrappone a quello di Adelphella babingtonii. Pachyella peltata Pfister & Cand. 1981, ha spore di dimensioni molto più grandi con intervallo delle misure che non si sovrappone a quello di Adelphella babingtonii. Pachyella pseudosuccosa (Le Gal) Pfister 1981, ha spore di dimensioni più grandi con intervallo delle misure che non si sovrappone a quello di Adelphella babingtonii. Peziza punctispora (Pfister) Donadini 1980, ha spore di dimensioni più grandi con intervallo delle misure che non si sovrappone a quello di Adelphella babingtonii, e piccole decorazioni puntiformi in rilievo sulla superficie sporale. Pachyella violaceonigra (Rehm) Pfister 1974, ha spore di dimensioni molto più grandi con intervallo delle misure che non si sovrappone a quello di Adelphella babingtonii, e colore dell'ascoma viola scuro. Bibliografia MEDARDI, G., 2006. Atlante fotografico degli Ascomiceti d'Italia. Ed. AMB. PFISTER, D.H., MATOČEC, N. & KUŠAN, I., 2009. Integrated studies in the classification of the Pezizaceae. Re-evaluation of the genus Pachyella with a new seggregate genus Adelphella. Mycologia Montenegrina. 11: 7-17. VAN VOOREN, N., 2014. Cahiers de la FMBDS 4: 4-5. Scheda di proprietà AMINT realizzata da Tomaso Lezzi e Manuel Atzeni - Approvata e Revisionata dal CLR Micologico di AMINT. Regione Trentino Alto Adige (BZ); Luglio 2019; Foto di Tomaso Lezzi. (Exsiccatum TL190725-05) Aschi ottasporici, spore e parafisi. Osservazione in Rosso Congo; 40×. Aschi ottasporici, spore e parafisi. Osservazione in Rosso Congo; 100×. Aschi ottasporici e spore. Osservazione in Melzer; 100×. Excipulum ectale con struttura a celle globose, con terminazioni clavate contenenti pigmento bruno. Osservazione in Melzer; 100×. Excipulum ectale con struttura a celle globose. Osservazione in Rosso Congo; 100×. Excipulum ectale con struttura a celle globose, con terminazioni clavate contenenti pigmento bruno. Osservazione in Melzer; 400×. Excipulum ectale con struttura a celle globose. Osservazione in Rosso Congo; 400×. Aschi ottasporici e spore nella parte superiore dell'immagine; excipulum medullare con struttura intricata nella parte bassa dell'immagine. Osservazione in Rosso Congo; 40×. Excipulum medullare con struttura intricata. Le ife dell'excipulum medullare, sui setti mostrano i corpi di Woronin, presenti solo negli ascomiceti, dove il setto ha un poro, che in situazioni di stress, viene parzialmente o totalmente chiuso da corpuscoli di citoplasma, che permettono così di regolare il passaggio di sostanze e soprattutto liquide da una cellula all'altra. È da notare come i corpi di Woronin siano normalmente molto difficili da osservare per le minute dimensioni, tanto che esiste poca iconografia di queste strutture, le foto sono spesso realizzate al SEM (Microscopio Elettronico a Scansione), mentre nel nostro caso sono stati osservati agevolmente al Microscopio Ottico. Osservazione in Rosso Congo; 400×. Osservazione in Rosso Congo; 1000×.- 3 risposte
-
- pachyella babingtonii
- adelphella babingtonii
- (e 1 in più)
