Vai al contenuto

Recommended Posts

Inviato

Flammulaster limulatus (Fr.) Watling 1967

Tassonomia
Divisione Basidiomycota
Classe Agaricomycetes
Ordine Agaricales
Famiglia Inocybaceae

Sinonimi
Phaeomarasmius limulatus (Fr.) Singer 1962
Flammulaster limulatoides P.D. Orton 1984
Flammulaster novasilvensis P.D. Orton 1984
Flammulaster limulatus var. litus Vellinga 1986
Flammulaster limulatus var. novasilvensis (P.D. Orton) Vellinga 1986
Flammulaster limulatus var. intermedius E. Ludw. 2001

Etimologia
L'epiteto Flammulaster deriva dal latino flámmula = fiammella e dal greco ἀστήρ [astér] = stella, per le decorazioni solitamente presenti sul cappello.
L'epiteto limulatus deriva dal latino līmus [i] = fango, limo; per il colore del cappello.

Cappello
Di dimensioni medio-piccole, fino a 3 cm, quasi emisferico nei giovani esemplari, diventa poi convesso con lo sviluppo, infine quasi piano. La superficie è color ruggine, cannella, granulosa.

Imenoforo
Lamelle mediamente distanziate, panciute in posizione mediana, con presenza di di diversi ordini di lamellule, gialle all'esordio, poi macchiate di bruno ruggine a maturità pe rla sporata, il filo delle lamelle è spesso più scuro della faccia della lamella.

Gambo
Stipite mediamente corto, 2-4 cm, con portamento lineare o ricurvo, brunastro con tonalità più chiare e giallastre all'apice, interamente rivestito con decorazioni analoghe a quelle presenti sul pileo.

Carne
Bruno giallastra.

Habitat
Specie saprotrofa che cresce su residui legnosi, rami, vecchie ceppaie, e segatura. Segnalato in letteratura scientifica sotto latifoglia con particolare predilezione per Fagus sylvatica.

Microscopia
Tutte le specie del genere Flammulaster hanno struttura della cuticola con ife globose, rigonfie o cortamente cilindriche, più o meno catenulate.
Flammulaster limulatus ha cuticola di ife allungate, cortamente cilindriche, a salsicciotto, catenulate.
Spore (6,3) 6,9-8,3 (8,8) × (3,5) 3,6-4,1 (4,3) µm; Q = (1,6) 1,8-2,1 (2,3); N = 32; Media = 7,6 × 3,9 µm; Qm = 2,0; di profilo ellissoidale in proiezione frontale e nettamente faseoliformi in proiezione laterale, a parete di spessore medio, con poro germinativo non sempre ben visibile, ma presente.
I cheilocistidi sono abbondanti, riuniti anche in gruppi, largamente clavati.
GAF presenti in tutte le strutture osservate: alla base dei cheilocisitidi, nella caulopellis e pileipellis.

Commestibilità e tossicità
Non commestibile.

Note nomenclaturali
Il genere Flammulaster è stato descritto da Earle nel 1909 come un genere segregato da Naucoria con i seguenti caratteri:
• basidiocarpi putrescenti;
• pileo convesso, squamuloso o setoso;
• lamelle annesse o decorrenti;
• gambo centrale;
• velo subevanescente, che non forma anello distinto; e
• spore ruggine o cannella.
Nel 1953 Küner e Romagnesi riconoscono per Naucoria subgen. Floccularia circa gli stessi caratteri (escudendo il subgen. Tubaria).
Norton nel 1960 accetta questo gruppo e lo separa come genere Flocculina.
Waitling nel 1967 riconosce la sinonimia tra Flammulaster e Flocculina.
Per il genere Flammulaster è ammessa anche una relazione molto stretta con il genere Phaeomarasmius, da cui si distingue per la struttura della pileipellis, che in quest’ultimo è un lamprotricoderma, cioè una palizzata di ife rialzate e a parete spessa.

Somiglianze e varietà
Phaeomarasmius erinaceus (Fr. : Fr.) Scherff. ex Romagn. può macroscopicamente somigliare a Flammulater limulatus. Un esame microscopico ci toglie subito qualsiasi dubbio, perché Phaeomarasmius erinaceus ha struttura della cuticola a lamprotricoderma, cioè una palizzata di ife rialzate e a parete spessa, mentre in Flammulaster muricatus la cuticola è formata da ife globose, rigonfie o cortamente cilindriche, più o meno catenulate.
Flammulaster novasilvensis P.D. Orton ha ife della curticola cortamente cilindriche, e alcuni autori lo sinonimizzano con Flammulaster limulatus.
Flammulaster muricatus (Fr. : Fr.) Watling ha ife della curticola globose e non cortamente cilindriche.
Flammulaster granulosus (J.E. Lange) Watling ha habitat non su legno; spore non faseoliformi.
Flammulaster ferrugineus Maire ex Watling (nome non valido), ora Tubaria ferruginea Maire ex E. Horak & P.-A. Moreau ha spore non faseoliformi.
Flammulaster wieslandri (Fr.) M.M. Moser ha spore destrinoidi, ovoidi, 8,5-10,5 ×5-5,5 μm; cheilocistidi di 25-45 μm di lunghezza, mai capitulati.
Flammulaster gracilis (Quél.) Watling ha cheilocistidi lageniformi.
Flammulaster erinaceellus sensu auct. brit. = Flammulaster erinaceella (Peck) Watling non viene considerato né su Funga Nordica (2008), né su Vellinga (1986), perché per Vellinga nome misapplicato. Michael Kuo descrive la microscopia di questa specie in modo completamente sovrapponibile a F. muricatus.

Bibliografia
AA.VV., 2008. Funga Nordica. Agaricoid, boletoid and cyphelloid genera. Ed. Nordsvamp.
KUO, M., 2005. Flammulaster erinaceella. Mushroomexpert.com. [Data di accesso: 29/01/2020].
VELLINGA, E.C., 1986. The genus Flammulaster (Agaricales) in the Netherlands and adiacent regions. Persoonia 13-1: 1-26.

Scheda di proprietà AMINT realizzata da Tomaso Lezzi e Mario Iannotti  - Approvata e Revisionata dal CLR Micologico di AMINT.
 
 
Regione Marche; Ottobre 2019; Foto, commento e microscopia di Tomaso Lezzi.

Il ritrovamento rappresentato nelle fotografie proposte è avvenuto su tronco a terra di Faggio (Fagus sylvatica).

Flammulaster limulatus 01-2 TL191019-03.jpg

Flammulaster limulatus 03 TL191019-03.jpg

Cheilocistidi  abbondanti, riuniti anche in gruppi, largamente clavati. Osservazione in L4 a 400×.

Flammulaster limulatus 06 TL191019-03 Cheilo 400x L4.jpg

Flammulaster limulatus 09 TL191019-03 Cheilo 400x L4.jpg

Osservazione in L4 a 1000×.

Flammulaster limulatus 12 TL191019-03 Cheilo 1000x L4.jpg

Flammulaster limulatus 14 TL191019-03 Cheilo 1000x L4.jpg

Spore (6,3) 6,9-8,3 (8,8) × (3,5) 3,6-4,1 (4,3) µm; Q = (1,6) 1,8-2,1 (2,3); N = 32; Media = 7,6 × 3,9 µm; Qm = 2,0; di profilo ellissoidale in proiezione frontale e nettamente faseoliformi in proiezione laterale, a parete di spessore medio. Osservazione in L4 a 1000×.

Flammulaster limulatus 18 TL191019-03 Spore 1000x L4.jpg

Flammulaster limulatus 21 TL191019-03 Spore 1000x L4.jpg

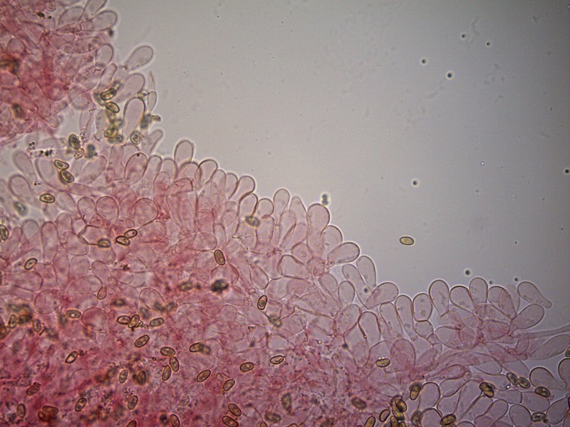
Cuticola formata da ife allungate, a salsicciotto, catenulate. Osservazione in L4 a 100×.

Flammulaster limulatus 24 TL191019-03 Cuticola 100x L4.jpg

Flammulaster limulatus 26b TL191019-03 Cuticola 100x L4.jpg

Flammulaster limulatus 27 TL191019-03 Cuticola 100x L4.jpg

Inviato

Flammulaster limulatus (Fr.) Watling; Regione Abruzzo; Ottobre 2017; Foto, commento e microscopia di Mario Iannotti.

Ritrovamento su ceppaia di legno di Faggio.

Flammulaster-limulatus-7582_85_2017.jpg

Flammulaster-limulatus-7586_88_2017.jpg

Flammulaster-limulatus-7819_23_2017.jpg

Spore 7,3-8,3 × 3,3-4,6 µm; Q = 1,7-2,3; Media = 7,8 × 4,0 µm; Qm = 2,0; di profilo ellissoidale in proiezione frontale e nettamente faseoliformi in proiezione laterale, a parete di spessore medio, con poro germinativo poco visibile, ma presente. Osservazione in Rosso Congo a 1000×.

Flammulaster-limulatus-spore-21_1000x.jpg

Cheilocistidi  abbondanti, riuniti anche in gruppi, largamente clavati, osservati GAF alla base. Osservazione in Rosso Congo a 400×.

Flammulaster-limulatus-cheilo-6_400x.jpg

Osservazione in Rosso Congo a 1000×.

Flammulaster-limulatus-cheilo-10_1000x.jpg

Flammulaster-limulatus-cheilo-11_1000x.jpg

Flammulaster-limulatus-cheilo-13_1000x.jpg 

Pileipellis formata da una cutis con fasci di ife ascendenti, catenulate, con elementi da globosi a cilindrici rigonfi, con pigmento incrostante. GAF presenti. Osservazione in Rosso Congo a 100×.

Flammulaster-limulatus-pileipellis-25_100x.jpg

Osservazione in Rosso Congo a 400×.

Flammulaster-limulatus-pileipellis-34_400x.jpg

Flammulaster-limulatus-pileipellis-32_400x.jpg

Flammulaster-limulatus-pileipellis-33_400x.jpg

Stipitipellis a cutis, con ife cilindriche, settate, leggermente intrecciate, con pigmento incrostante, osservati GAF abbondanti. Osservazione in Rosso Congo a 100×.

Flammulaster-limulatus-cauloipellis-38_100x.jpg

Osservazione in Rosso Congo a 400×.

Flammulaster-limulatus-cauloipellis-40_400x.jpg

Caulopellis, sono ben visibili i GAF. Osservazione in Rosso Congo a 1000×.

Flammulaster-limulatus-cauloipellis-gaf-43_1000x.jpg

GAF in evidenza.

Flammulaster-limulatus-cauloipellis-gaf-49_1000x.jpg

Inviato

Flammulaster limulatus (Fr.) Watling; Regione Abruzzo; Ottobre 2017; Foto e commento di Tomaso Lezzi.

Flammulaster limulatus 03.jpg

Flammulaster limulatus 05.jpg

Particolare del cappello.

Flammulaster limulatus 06.jpg

Spore di profilo ellissoidale in proiezione frontale e nettamente faseoliformi in proiezione laterale, a parete di spessore medio. Osservazione in L4 a 400×.

Flammulaster limulatus 12 Spore 400x.jpg

 

Cuticola formata da ife allungate, a salsicciotto, catenulate. Osservazione in L4 a 400×.

Flammulaster limulatus 17 Cuticola ife a salsicciotto 400x.jpg

  • 5 years later...
  • 2 weeks later...
×
×
  • Crea Nuovo...

Important Information

Termini d'uso Informativa sulla riservatezza