Vai al contenuto

Recommended Posts

Inviato

Pluteus cervinus (Schaeff.) Kummer; Regione Umbria; Agosto 2010; Foto di Luigi Minciarelli.

Ritrovamento su ceppo di Faggio, dai boschi appeninici in Umbria.
Campione singolo in associazione con Hypholoma fasciculare che cresceva sulla stessa ceppaia.
L' esemplare raccolto aveva distinto odore rafanoide.

post-3501-049583100%201281739586.jpg

post-3501-054972100%201281739581.jpg

post-3501-023876900%201281739584.jpg

Microscopia
Foto e commenti di Tomaso Lezzi e Luigi Minciarelli.

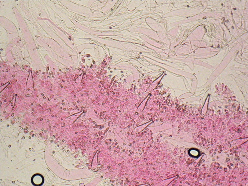
Gli elementi che caratterizzano la sez. Pluteus sono la cuticola con cellule filamentose cilindriche e i pleurocistidi a parete spessa e uncinati sull'apice (Cervinus type).
Cuticola con cellule filamentose, cilindriche, settate.
Non sono stati osservati GAF in nessuno dei tessuti, neanche nella cuticola.

post-3501-041692700%201281739678.jpg

Cheilocistidi piriformi.

post-3501-049680300%201281739659.jpg

post-3501-011547800%201281739662.jpg

Cistidi della zona intermedia trai cistidi del filo lamellare, e i pleurocistidi. La forma è diversa da quella dei pleurocistidi, non hanno i 3-4 uncini ricurvi all'apice, ma spesso hanno una sola punta (Magnus type) e degli accenni di uncini.

post-3501-062732200%201281739664.jpg

post-3501-007686300%201281739667.jpg

Pleurocistidi con 3-4 uncini ricurvi all'apice e parete spessa (metuloidi).

post-3501-005639100%201281739670.jpg

post-3501-097780300%201281739672.jpg

post-3501-085106000%201281739675.jpg

Inviato

Pluteus cervinus (Schaeffer) Kummer; Regione Lazio; Gennaio 2013; Foto di Tomaso Lezzi.

Cappello marrone, odore di ravanello, lignicolo, sporata rosa e lamella libera.
Pleurocistidi metuloidi (a parete spessa), uncinati, cuticola formata da elementi allungati, settati, senza GAF.

post-2993-0-32888500-1376762492.jpg

Pleurocistidi metuloidi (a parete spessa), uncinati.

post-2993-0-48023000-1376762496.jpg

post-2993-0-92421100-1376762499.jpg

post-2993-0-67332500-1376762503.jpg

Spore ellissoidali.

post-2993-0-17117800-1376762506.jpg

Cuticola formata da elementi allungati, settati, senza GAF.

post-2993-0-98549300-1376762510.jpg

post-2993-0-68639100-1376762519.jpg

post-2993-0-62823100-1376762522.jpg

post-2993-0-61286600-1376762525.jpg

Inviato

Pluteus cervinus (Schaeffer) Kummer; Regione Trentino; Settembre 2013; Foto di Luigi Minciarelli, microscopia di Tomaso Lezzi, Luigi Minciarelli, Mario Iannotti.

Campione di Pluteus piuttosto malandato trovato su legno morto di Abete rosso, ma la microscopia ha confermato la sezione Pluteus (pleurocistidi uncinati e a parete spessa), e la specie Pluteus cervinus, per la mancanza di GAF nelle ife del cappello e delle lamelle.

post-2993-0-69655500-1379007435.jpg

Pleurocistidi uncinati.

post-2993-0-79220300-1379007384.jpg

post-2993-0-16578400-1379007389.jpg

Spore ellissoidali.

post-2993-0-71790600-1379007398.jpg

post-2993-0-84107300-1379007393.jpg

Inviato

Pluteus cervinus (Schaeffer) Kummer; Svizzera; Maggio 2014; Foto di Roberto Cagnoli.

post-15567-0-98996400-1399722916.jpg

post-15567-0-31008000-1399722941.jpg

post-15567-0-92802000-1399722962.jpg

Pileipellis con elementi fusiformi settati. GAF assenti.

post-15567-0-35900400-1399723074.jpg

post-15567-0-38642100-1399723141.jpg

post-15567-0-52329800-1399723173.jpg

Pleurocistidi metuloidi.

post-15567-0-04054600-1399723269.jpg

post-15567-0-31434300-1399723323.jpg

Cheilocistidi Sferopeduncolati.

post-15567-0-40491400-1399723432.jpg

post-15567-0-33576800-1399723456.jpg

Basidi tetrasporici.

post-15567-0-30236700-1399723542.jpg

Spore 6-7,5 µm; ellissoidali; con guttula centrale.

post-15567-0-38844900-1399723633.jpg

Inviato

Pluteus cervinus (Schaeffer) Kummer; Regione Trentino Alto Adige; Agosto 2014; Foto di Tomaso Lezzi.
Raduno Scientifico CSP35 di Braies (BZ).

post-2993-0-84030600-1407925992.jpg
 
Lamelle rosa, libere al gambo.
 
post-2993-0-43810500-1407925993.jpg
 
Particolare della sporata depositata sul gambo.
 
post-2993-0-95956600-1407925993.jpg
 
Particolare della base del gambo.
 
post-2993-0-96940500-1407925994.jpg
 
post-2993-0-38092200-1407925994.jpg
 
Cuticola. 400×
 
post-2993-0-21383900-1407926720.jpg
 
Cheilocistidi. 100×.
 
post-2993-0-17753000-1407926721.jpg
 
Cheilocistidi. 400×.
 
post-2993-0-16666400-1407926722.jpg
 
post-2993-0-16608000-1407926723.jpg
 
Pleurocistidi uncinati, a parete spessa. 400×.
 
post-2993-0-22605400-1407926724.jpg
 
post-2993-0-20707200-1407926725.jpg
 
Spore 1000×.
 
post-2993-0-20378000-1407926726.jpg
Inviato

Pluteus cervinus (Schaeffer) Kummer ; Regione Abruzzo; Ottobre 2014; Foto macro di Tomaso Lezzi, foto micro di Tomaso Lezzi e Mario Iannotti.
Raduno GEMA 2014 - Rivisondoli.

Ritrovamento su ceppo di Faggio morto.

post-2993-0-43101800-1413463999.jpg

post-2993-0-87951600-1413463998.jpg

post-2993-0-97209900-1413463999.jpg

Cuticola. 100×. Osservazione in Acqua. Struttura di ife cilindriche subparallele, che formano una cutis.

post-2993-0-45912000-1413465019.jpg

Cheilocistidi. 400×. Osservazione in Rosso Congo ammoniacale. I cheilocistidi, che si trovano esattamente sul filo della lamella hanno un profilo largamente clavato e parete sottile, spostandosi dal filo della lamella verso le facce della lamella, le cellule di passaggio cominciano ad avere parete più spessa, sono mucronati, fino a mostrare una struttura detta in inglese magnus type in cui i cistidi hanno una sola punta centrale. Spostandosi ancora verso la faccia della lamella i pleurocistidi mostrano la forma uncinata tipica della sezione Pluteus.

post-2993-0-43537000-1413465020.jpg

post-2993-0-43254200-1413465021.jpg

post-2993-0-36771000-1413465022.jpg

Pleurocistidi uncinati a parete spessa. 400×. Osservazione in Rosso Congo ammoniacale.

post-2993-0-94174800-1413465022.jpg

post-2993-0-94495000-1413465023.jpg

post-2993-0-94480700-1413465024.jpg

Pleurocistidi uncinati. 1000×. Osservazione in Rosso Congo ammoniacale.

post-2993-0-92521100-1413465025.jpg

post-2993-0-95849100-1413465026.jpg

Spore. 1000×. Osservazione in Rosso Congo ammoniacale.

post-2993-0-82048600-1413465559.jpg

×
×
  • Crea Nuovo...

Important Information

Termini d'uso Informativa sulla riservatezza