Vai al contenuto

Recommended Posts

Inviato

Inocybe hirtella Bres. 1884

Tassonomia
Divisione Basidiomycota
Classe Agaricomycetes
Ordine Agaricales
Famiglia Inocybaceae
Genere Inocybe
Sottogenere Inocybe
Sezione Spendentes
Sottosezione Subbrunneinae

Sinonimi
Inocybe langei sensu Lange 1938
Inocybe hirtella var. bispora Kuyper 1986

Etimologia
Da hirtus = ispido, per la presenza di minuti aculei.

Cappello
2-3 cm, inizialmente conico-convesso, poi convesso-appianato, mai disteso, con umbone ottuso generalmente non molto pronunciato, finemente squamoso, spesso glabro con tempo secco.
Superficie pileica fibrillosa, moderatamente dissociata, colorazioni su toni giallo-paglierino, giallo-ocraceo,anche con sfumature fulve, fino al bruno-giallastro in vecchiaia.

Lamelle
Mediamente fitte, adnate o leggermenti decorrenti con dentino al gambo, di colore giallo-paglierino in gioventù, poi giallo-ocra, infine olivastre per il deposito delle spore, filo più chiaro e finemente dentellato.

Gambo
3-4 × 0,3-0,5 cm, cilindrico con base leggermente ingrossata ma non bulbosa, leggermente striato longitudinalmente, pruinoso per tutta la lunghezza, colorazioni di fondo giallo-ocra pallide, con riflessi carnicini più evidenti all'apice.

Carne
Compatta, soda, biancastra nel cappello, con leggere sfumature rosate nella parte alta del gambo, sapore da mite a leggermente amarognola, odore che ricorda quello delle mandorle.

Habitat
Distribuita in varie tipologie di habitat, abbastanza comune e tendenzialmente legata a Latifoglie, in particolare Fagaceae.

Microscopia
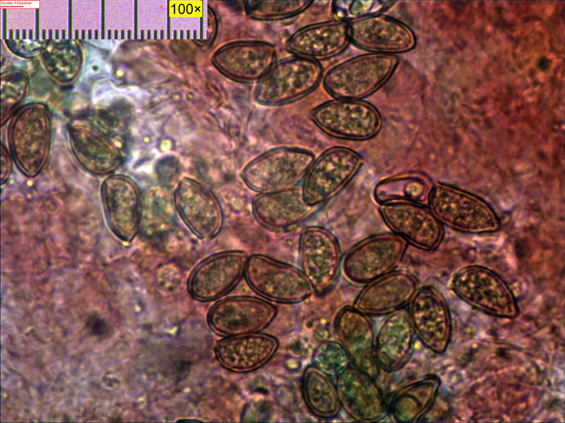
Spore amigdaliformi, anche un poco ellittiche (subamigdaliformi) (8) 9-10 (11) × 5-6 (6,5) µm, lisce.
Basidi banali, in maggioranza tetrasporici, presenti in minor numero anche bisporici.
Cistidi imeniali 40-60 × 10-12 µm, spessore della parete 1,5-2,5(3) µm.
Caulocistidi dell'apice e della metà del gambo 40-55 × 12-16 µm.
Caulocistidi della base del gambo 30-58 × 12-16(18) µm.
Reazione ammoniacale positiva.

Commestibilità e Tossicità
Tossico, responsabile di sindrome muscarinica.

Osservazioni
Inocybe hirtella Bres. è specie di piccole dimensioni caratterizzata dal cappello con toni che vanno dal giallo-ocra al giallo-brunastro, lamelle pallide in gioventù, olivastre in maturazione, gambo non propriamente bulboso, pruinoso, giallognolo con sfumature rosate, odore come di mandorle amare. Spesso confusa con specie similari può essere determinabile in base ai caratteri microscopici anche se questi caratteri a volte sono difficili da rilevare. Il particolare odore, a detta di alcuni Autori, sembrerebbe essere un deterrente che permette una agevole separazione.
Inocybe hirtella var. bispora Kuyper si differenzierebbe per avere i basidi con due sterigmi e di conseguenza spore di dimensioni superiori: (9) 10-11,5 (12) µm, fattore che non ha nessun valore a livello tassonomico e quindi questo taxa è da considerare solamente come sinonimo di Inocybe hirtella.

Specie simili
Inocybe scabella var. minor Kühner viene descritta con colorazioni pileiche con toni beige-fulvo chiaro con decolorazioni fino al biancastro al margine del cappello, cistidi imeniali fusiformi lunghi fino 80-90) µm, cheilocistidi simili ma con lunghezza maggiore, odore leggermente spermatico.
Inocybe subhirtella Bon presenta sfumature rossastre al gambo e nella carne, odore spermatico alla raccolta, poi che ricorda il pane.
Inocybe langei Heim ha odore spermatico, carne biancastra, gambo bianco-giallastro senza toni rosati, spore subagmidaliformi 6-8(9) × 4,5-5,5 µm, caulocistidi fino al terzo inferiore.
Inocybe pholiotinoides presenta toni ocra aranciati, gambo rossastro verso la base, odore spermatico, caulocistidi slanciati, con collo stretto, lunghi fino a 85-90 µm.
Doveroso ricordare che Th.W. Kuyper nella sua "Revision of the Genus Inocybe in Europe" (1986) tende a sinonimizzare I. muricellata Bres. con I.scabella e I. scabella var. minor Hühner = I.scabelliformis Malencon = I. pholiotinoides Romag. = I. hirtelloides sensu Jacoboson, diversamente da quanto M. Bon afferma nella sua "Clé monograpique du Genre Inocybe" in Document Mycologique (1997).
Anche recemente Bizio & Marchetti, "revisione delle Inocybe dell'Abate Bresadola" (attraverso gli autori successivi e revisione di materiale d'erbario), seconda parte boll. G.M.R. n° 40 (2):125-144 anno 1998, non concordano con la riunificazione di Kuyper, analogamente E. Ferrari, in "Inocybe alpine e subalpine" della collana "Fungi non delineati" ritiene di tenere separate le specie.

Conclusioni
Ci troviamo davanti ad un caso di interpretazione tassonomica in parte complessa in relazione alle specie che ruotano attorno al taxon di Bresadola, entità che potrebbero far nascere dubbi determinativi e tassonomici.
Inocybe hirtella Bres. è stata descritta dai vari Autori nel corso degli anni con caratteri abbastanza conformi al Tipus. Alcune "diversità" possono essere riscontrate nelle dimensioni degli sporofori, le colorazioni e/o decorazioni del pileo e in qualche caso per il diverso odore. Nella diagnosi originale G. Bresadola (Fungi Tridentini) definisce, per esempio, il colore del cappello "flavo stramineus" basandosi sulle raccolte da lui effettuate e in habitat notoriamente "Trentini". Nell'evoluzione della ricerca micologica analoghi ritrovamenti fatti in habitat diversi, quindi con diversa tipologia di vegetazione e substrato di crescita, le colorazioni pileiche possono assumere ora toni più chiari, ora più scuri, come avviene generalmente in tutte le altre specie.
Anche le caratteristiche organolettiche possono essere state diversamente interpretate considerando che la percezione olfattiva può essere diversa da individuo a individuo (memoria olfattiva).
M. Bon descrive I. hirtella var.hirtella con un cappello fibrilloso, un poco squamoso con l'età verso il margine, gambo biancastro con toni carnicini verso l'apice, spore 8-10(15) × 5-8,5 µm considerando anche I. hirtella var. bispora. Th.W. Kuyper la descrive con cappello ocraceo, giallo-brunastro, fibrilloso-squamoso, moderatamente escoriato con l'età, gambo giallo pallido, con toni arancio-ocracei alla sommità, impallidente verso la base, spore 8-10,5 × 5-6 µm (fino a 13,5 × 7,5 µm per I.hirtella var. bispora). E. Ferrari recentemente (Inocybe alpine e subalpine. Il genere Inocybe (Fr.) Fr. nel Nord Italia e paesi limitrofi. Fungi Non Delineati, Pars XXI - 2006) descrive la specie di G. Bresadola con un cappello con colorazioni pileiche variabili, da paglierine a fulve-giallognole, la superficie fibrillosa e non completamente dissociata, minutamente squamosa a partire dall'apice, affermando che queste caratteristiche possono non essere presenti con tempo secco, il gambo finemente striato, interamente pruinoso, superficie pallida con toni rosato-carnicini nella parte medio alta, spore da subagmidaliformi a agmidaliformi 8-10(11) × 5-6(6,5) µm.
Quest'ultima descrizione risulta molto simile al ritrovamento

Bibliografia
AA.VV., 2008. Funga Nordica. Agaricoid, boletoid and cyphelloid genera. Ed. Nordsvamp.
BON, M., 1997. Clé monographique du genre Inocybe (Fr.) Fr. Documents Mycologiques 27 , 105: 1–51.
FERRARI, E., 2006. Inocybe alpine e subalpine. Il genere Inocybe (Fr.) Fr. nel Nord Italia e paesi limitrofi. Fungi Non Delineati, Pars XXI: 1–457. Ed. Candusso.
KUYPER, T.W., 1986. A Revision of the Genus Inocybe in Europe. I. Subgenus Inosperma and the Smooth-spored Species of Subgenus Inocybe.Persoonia. Vol. 3.

Scheda di proprietà AMINT realizzata da Massimo Biraghi - Approvata e revisionata dal CLR Micologico di AMINT.
 

Regione Sardegna, Località Montiferru; Novembre 2009; Foto, descrizione e microscopia di Massimo Biraghi.

In Cerreta.

post-2286-1262558215.jpg

post-2286-1262558379.jpg
enc.gif

post-2286-1265319386.jpg

post-2286-1265319413.jpg
enc.gif

Spore amigdaliformi, anche un poco ellittiche (subamigdaliformi) (8) 9-10 (11) × 5-6 (6,5) µm, lisce.

05.jpg

06.jpg

07.jpg

08.jpg

Basidi banali, in maggioranza tetrasporici.

09.jpg

10.jpg

11.jpg12.jpg

Cistidi imeniali con cristallizzazioni apicali (lamprocistidi), 40-60 × 10-12 µm, parete spessa 1,5 -2 (3) µm.

13.jpg

14.jpg

15.jpg16.jpg

17.jpg18.jpg

Reazione positiva con Ammoniaca 6%.

19.jpg

20.jpg

21.jpg22.jpg

Caulocistidi della parte apicale del gambo abbondanti 40-55 × 12-16 µm pressochè uguali ai cistidi imeniali.

23.jpg

24.jpg

25.jpg26.jpg
27.jpg28.jpg

Caulocistidi a metà del gambo, della stessa misura e conformazione di quelli apicali.

29.jpg

30.jpg31.jpg
32.jpg33.jpg

Caulocistidi della base del gambo, molto più radi, 30-58 × 12-16 µm.

34.jpg

35.jpg

38.jpg37.jpg

36.jpg

Inviato

Inocybe hirtella Bres.; Regione Lombardia; Novembre 2013; Foto, commento e microscopia di Sergio Mombrini.

Rinvenuta in un boschetto planiziale di latifoglie (Farnia misto Robinia), questa Inocybe di piccole dimensioni con pileo dai toni ocra-giallastri, gambo biancastro con piccolo bulbo basale e carne dall’odore gradevole come di mandorle amare, basidi principalmente tetrasporici.

post-12381-0-82946300-1383931152.jpg

post-12381-0-39720400-1383931381.jpg

Quadro microscopico:
A-Cheilocistidi B-Pleurocistidi C-Basidi D-Caulocistidi.

post-12381-0-47439800-1383931899.jpg

Spore e misure sporali: (7,5)8,1-9,7(10,1) × (4,5)4,7-5,6(5,8) µm.

post-12381-0-22723500-1383932403.jpg

Inviato

Inocybe hirtella Bres.; Regione Lombardia, Brembate (BG); Ottobre 2013; Foto, descrizione e microscopia di Massimo Biraghi.

Foto e Descrizione
Questo ritrovamento sarebbe attribuibile alla vecchia Inocybe hirtella f. bispora Kühner, che adesso è stata sinonimizzata e riunita nella forma tipo.
Colorazioni pileiche su toni ocra-giallastri (le foto le rappresentano bene), assenza di velo primordiale, superficie fibrillosa-leggermente rimosa, lamelle inizialmente crema-biancastre poi ocra-brunastre, gambo da biancastro a ocra-bruno a maturazione. Carne biancastra nel cappello, sfumata di rosa nella parte alta del gambo, sapore da mite a leggermente amarognolo, odore che ricorda quello delle mandorle.

Microscopia
Spore amigdaliformi viste frontalmente, ellissoidali con restringimento all'apicolo in proiezione verticale.
N° Long. Larg. Q
Moy 10,93 5,87 1,86
Min 9,06 5,17 1,70
Max 12,04 6,43 2,12
Basidi bisporici, anche monosporici. Cistidi imeniali tendenzialmente lageniformi - subutriformi (ventre allargato) abbastanza corti.
Caulocistidi più stretti dei cistidi imeniali, da subfusiformi a lageniformi, molto presenti all'apice, si rarefanno scendendo verso la base del gambo.

Parco Doneda, bosco planiziale con prevalenza di Pioppo, rare Querce e Carpini.

post-2286-0-45376600-1382970501.jpg

post-2286-0-89872000-1382970508.jpg

Spore.

post-2286-0-43713600-1382970750.jpg

Basidi.

post-2286-0-96158400-1382970572.jpg

Cistidi imeniali.

post-2286-0-45203800-1382970603.jpg

post-2286-0-91797200-1382970614.jpg

post-2286-0-68293200-1382970622.jpg

Caulocistidi apicali.

post-2286-0-65533300-1382970677.jpg

post-2286-0-17940600-1382970695.jpg

post-2286-0-89493000-1382970705.jpg

Inviato

Inocybe hirtella Bres.; Regione Lombardia, Brembate, loc. Parco Doneda; Ottobre 2014; Foto, commento e microscopia di Massimo Biraghi.

Comune e gregaria Inocybe dalle colorazioni giallo-ocracee, si può riconoscere macroscopicamente sul campo per il gambo non o poco bulboso e soffuso di rosa all'apice, emana un caratteristico odore di mandorle amare, con l'accortezza di riscaldare l'esemplare tra le mani oppure dopo averlo riposto in un contenitore ermetico. Microscopicamente presenta cistidi con cristalli di Ossalato di Calcio e caulocistidi visibili fino alla base del gambo. Sotto Pioppo nero.

Prima raccolta.

post-2286-0-13218000-1414013786.jpg

post-2286-0-47982100-1414013809.jpg

post-2286-0-50321600-1414013820.jpg

Seconda raccolta.

post-2286-0-00357600-1414013868.jpg

post-2286-0-69040200-1414013850.jpg

Primordi.

post-2286-0-74262000-1414013887.jpg

Microscopia
Spore da ellittiche a subamigdaliformi.
N° Long. Larg. Q
Moy 10,10 5,56 1,82
Min 9,33 4,63 1,62
Max 11,20 6,20 2,12
Media 10,04 5,57 1,83
Lxl: N= 30 ; dMd; (9,33)9,54-9,91-10,77(11,20) x (4,63)5,00-5,538-6,11(6,20)
Qm= 1,82
Osservazione in Rosso Congo a 400×.

post-2286-0-39099700-1414013949.jpg

Osservazione in Rosso Congo 1000×.

post-2286-0-13809800-1414014006.jpg

Cheilocistidi con cristalli di Ossalato di Calcio.
N° Long. Larg. Q
Moy 37,17 11,70 3,22
Min 29,74 8,52 2,38
Max 43,26 13,70 4,24
Media 36,74 11,89 3,27

Osservazione in Rosso Congo a 400×.

post-2286-0-99557400-1414014099.jpg

post-2286-0-64261300-1414014110.jpg

Pleurocistidi di analoga morfologia.
N° Long. Larg. Q
Moy 38,39 11,76 3,31
Min 30,48 8,94 2,56
Max 45,58 14,28 4,40
Media 38,25 11,75 3,22

post-2286-0-63112700-1414014249.jpg

post-2286-0-53181200-1414014265.jpg

Caulocistidi presenti fino alla base del gambo.
N° Long. Larg. Q
Moy 50,65 9,19 5,64
Min 41,42 6,45 3,81
Max 60,62 11,78 8,24
Media 50,28 9,22 5,68

Caulocistidi apicali.

post-2286-0-77864200-1414014339.jpg

Caulocistidi mediani.

post-2286-0-18740200-1414014481.jpg

Caulocistidi basali.

post-2286-0-63258500-1414014503.jpg

Inviato

Inocybe hirtella Bres.; Svizzera; Ottobre 2015; Foto di Roberto Cagnoli.

Questo ritrovamento sarebbe attribuibile alla vecchia Inocybe hirtella f. bispora Kühner, che adesso è stata sinonimizzata e riunita nella forma tipo.

post-15567-0-49373800-1446641792.jpg

post-15567-0-05435600-1446641802.jpg

post-15567-0-72308800-1446641812.jpg

post-15567-0-30057400-1446641899.jpg

Basidi bisporici.

post-15567-0-15613200-1446641918.jpg

post-15567-0-06164200-1446641927.jpg

post-15567-0-99038800-1446641935.jpg

Basidi bisporici.

post-15567-0-93765800-1446642002.jpg

Spore (8) 9-10,5 (11) × 5,5-6,5 (7) µm.

post-15567-0-88040000-1446642102.jpg

post-15567-0-78328800-1446642113.jpg

Caulocistidi alla base del gambo.

post-15567-0-97144100-1446642168.jpg

post-15567-0-61512100-1446642177.jpg

Pleurocistidi.

post-15567-0-42241700-1446642200.jpg

Cheilocistidi.

post-15567-0-08235500-1446642217.jpg

Inviato

Inocybe hirtella Bres.; Svizzera; Ottobre 2016; Foto di Roberto Cagnoli.

Questo ritrovamento sarebbe attribuibile alla vecchia Inocybe hirtella f. bispora Kühner, che adesso è stata sinonimizzata e riunita nella forma tipo.

post-15567-0-04587100-1477297616.jpg

Spore.

post-15567-0-97032600-1477297634.jpg

Basidi bisporici e in minor parte monosporici.

post-15567-0-65110600-1477297680.jpg

post-15567-0-21525900-1477297690.jpg

post-15567-0-07089800-1477297699.jpg

Caulocistidi presenti fino alla base del gambo.

post-15567-0-15664800-1477297765.jpg

Pleurocistidi.

post-15567-0-18513700-1477297800.jpg

Cheilocistidi con presenza di numerosi paracistidi piriformi.

post-15567-0-81583900-1477297825.jpg

×
×
  • Crea Nuovo...

Important Information

Termini d'uso Informativa sulla riservatezza